您好,欢迎来到仪征市中医院!
  今天是 
正在加载

 
冬春之交,警惕预防各类心血管疾病

来源: 时间:2025-02-17
 

冬季以来,天气干燥,随着气温降低,早晚温差大,冷空气侵袭人体易引起血黏度增高、血管收缩、痉挛,冬季成为心脑血管疾病的高发季节。

图片

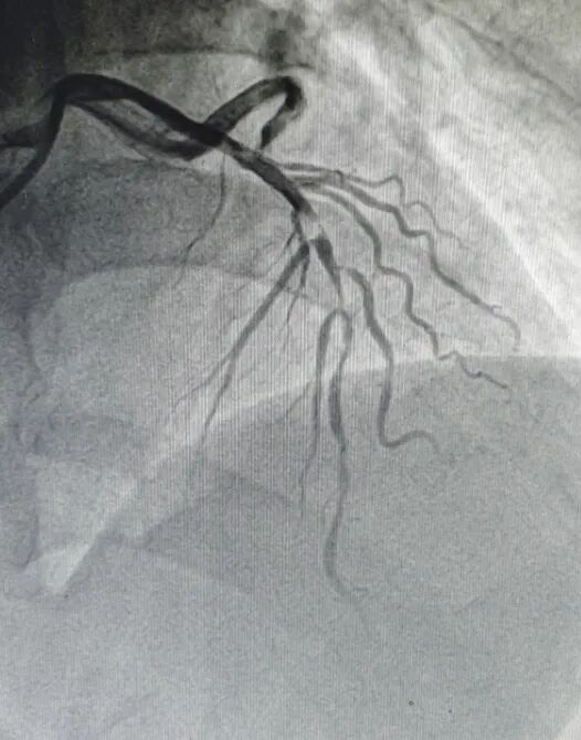
一名55岁患者昨天上午因胸痛来院就诊,就诊时心病二科当班医师宁锦平查心电图考虑心绞痛将患者收治入院。患者收治入院1小时后,12点半时突发急性心梗死,胸闷胸痛难以忍受,伴有全身大汗。

图片

图 | 血管云雾状改变

虽然是午间休息时分,但我院心病二科专家团队奉行全天候24小时待命,在汤华主任的带领下,多科室迅速联动为患者开通绿色通道,第一时间为患者行急诊冠状动脉造影检查,发现血管内大块血栓,即刻进行血管内溶栓治疗,患者转危为安。

图片

心病二科主任、主任医师汤华提醒

冬末春初,天气多变

大家一定要注意心血管疾病的预防

一、要积极控制各种心血管危险因素,包括控制血压、血糖和血脂的水平,坚持运动锻炼,戒烟限酒,避免熬夜等。

二、加强慢性冠心病的管理,对于有冠心病,心脏支架或者搭桥的人来说,进行慢病管理,防止病情不稳定,进一步恶化。

三、早期发现心梗“先兆”,冠心病患者出现以下情况,很可能是心梗的先兆,建议尽早就医:

1、胸闷、胸痛频发,每周发作1次以上,甚至每天发作是病情严重的信号。

2、胸闷胸痛持续时间每次超过15分钟以上。

3、安静状态下,或者夜间发作心绞痛。

4、发作时心电图缺血严重改变。

5、发作时出现晕厥或者呼吸困难,哮喘发作。

冬春交替,要提高警惕,做好预防措施。一旦出现心梗症状,要立即拨打120急救电话,争取黄金救治时间。

平时要养成良好的生活习惯,保持健康的生活方式,预防心梗的发生。


   

版权所有:仪征市中医院

地址:仪征市沿山河路899号

苏ICP备2024141059号-1

苏公网安备32108102010072号